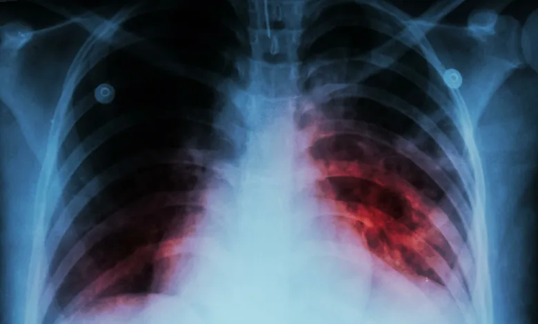
Tuberculosis kills 30 people daily in Ghana

A senior technical officer at the Greater Accra Regional TB Control, Isaac Opoku Asamoah, has said 30 people die daily through tuberculosis (TB) and 125 people contract the disease on a daily basis in Ghana.
He said TB is a silent killer, and adults in most parts of the developing world, including Ghana, are unknowingly exposed to TB bacteria.
Asamoah, who was speaking with the Ghana News Agency in an interview, mentioned that the progression from latent to active TB disease depends on the individual’s immunity.
He said people with a higher risk of progressing to the disease are smokers, alcoholics, prisoners, people living in crowded and poorly ventilated rooms, mine workers and persons exposed to silica.
The technical officer said persons with lowered immunity due to medical conditions such as HIV, diabetes, cancer, kidney failure and malnutrition are also at higher risk.
Asamoah said the commemoration of the 2023 World TB Day in Ghana was marked by a series of activities, including nationwide screening, especially in densely populated communities, intensifying advocacy and sensitization, among others.
He stated that a webinar for paediatricians was offered by the Ghana Paediatric Society to increase their suspicion of childhood TB and enable them to screen more children in all facilities.
He said, “This is because TB in children is difficult to diagnose, and research done last year in Komfo Anokye found 50 TB cases among severely-ill children on admission from January to June.”
Asamoah stressed that TB is a preventable and curable disease and said free diagnosis and treatment are available in all public and accredited private health facilities.



